Bitlis 2 şahsın midesinden 1 kilo 96 gram eroin çıktı

Bitlis 2 şahsın midesinden 1 kilo 96 gram eroin çıktı

Bitlis 2 şahsın midesinden 1 kilo 96 gram eroin çıktı

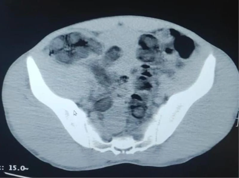
Bitlis’te 2 şüpheli şahsın midesinden 176 kapsül içerisinde 1 kilo 96 gram eroin maddesi çıktı.
Bitlis Valiliğinden yapılan açıklamada, "Bitlis İl Jandarma Komutanlığı unsurlarınca yapılan istihbari çalışmalar neticesinde, Güroymak ilçesi Günkırı mevkiinde icra edilen yol kontrol faaliyetinde, Van-İstanbul seferini yapan bir yolcu otobüsünde iki şüphelinin vücutlarında uyuşturucu madde taşıdıkları bilgisi alınmıştır. Şüphelilerin çekilen tomografi ve röntgen görüntülerinde mide ve bağırsaklarında yabancı cisim olduğu tespit edilmiştir. Yapılan operasyonla her iki şüphelinin midesinden toplam 176 adet kapsül içerisinde 1 kilo 96 gram eroin maddesi ele geçirilmiş, şüpheli 2 şahıs gözaltına alınmıştır. Gözaltına alınan 2 şüpheli adli işlemlerinin tamamlanmasına müteakip 22/23 Şubat günlerinde adli makamlara sevk edilmelerine müteakip tutuklanarak Bitlis kapalı cezaevine teslim edilmiştir. Yarınlarımızın teminatı olan çocuklarımızı ve gençlerimizi uyuşturucudan korumak maksadıyla, uyuşturucu madde türevlerinin ticaretini yapan veya sosyal medya aracılığı ile alenen özendiren şahıslarla, yılmadan ve yorulmadan etkin mücadeleye bölge halkının da desteği ile kararlılıkla devam edilmektedir" denildi.


Yurt Dünya 25.02.2022 17:35:35 0

İlginizi Çekebilir

1

Kahramanmaraş'ta apartmanda yaşanan doğal gaz patlamasında 1 kişi yaralandı

2

Adana'da Yeşilay Haftası'na yönelik koordinasyon toplantısı düzenlendi

3

Adana'da polisten Türk Kızılaya kan bağışı desteği

4

Türkoğlu Kaymakamı Mercan ve Belediye Başkanı Karaca, AA'nın "Yılın Kareleri" oylamasına katıldı

5

Antalya'da iki gündür kayıp çocuk için arama çalışması başlatıldı

6

GÜNCELLEME - Mersin'de silahla kuyumcuyu soyan zanlı yakalandı

7

Antalya'da hafif ticari araçla çarpışan motosikletin sürücüsü öldü

8

Adana'da göl kıyısındaki kaçak yapıların yıkımı sürüyor

9

Osmaniye Korkut Ata Üniversitesi Rektörü Prof. Dr. Uzun, AA'nın "Yılın Kareleri" oylamasına katıldı

10

ATB Başkanı Çandır'dan sel ve hortumun tarım alanlarına verdiği zarara ilişkin açıklama