Dişeti hastalıkları sistemik hastalıkların belirtisi olabilir

Dişeti hastalıkları sistemik hastalıkların belirtisi olabilir

Dişeti hastalıkları sistemik hastalıkların belirtisi olabilir

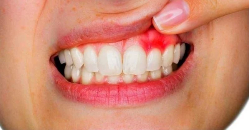
Dişeti hastalıklarındaki temel faktörün, mikrobiyal plak tabakası olduğunu söyleyen Dr. Dilek Mamaklıoğlu, aynı zamanda, “Mikrobiyal plağa bağlı olmayan dişeti hastalıkları sistemik hastalıkların belirtileri olabilir” dedi.
dişeti hastalıklarına karşı korunma yöntemlerini anlatan Beykent Üniversitesi Diş Hekimliği Fakültesi Periodontoloji Anabilim Dalı Dr. Öğr. Üyesi Dilek Mamaklıoğlu, sözlerine dişeti hastalıklarına neden olan temel faktörün, mikrobiyal plak tabakası olduğunu belirterek başladı. Dilek Mamaklıoğlu, ’’Diş ve kök yüzeylerinden uzaklaştırılmayan diştaşı ve plak tabakası zamanla dişeti iltihabına ve ardından kemik kaybına neden olur’’ dedi.

Belirtileri nelerdir
Dişeti hastalığının belirtileri arasında dişetlerinde kanama, şişlik ve renk değişikliği bulunduğunun altını çizen Mamaklıoğlu, “Dişi çevreleyen dokularda aynı değişikliklere neden olan başka durumlar da mevcuttur. Bazı sistemik durumların veya hastalıkların belirtileri ilk olarak dişetinde görülebilir. Mikrobiyal plağa bağlı olmayan dişeti hastalıkları sistemik hastalıkların belirtileri olabilir, aynı zamanda dişeti dokularıyla sınırlı patolojik değişiklikleri de içerebilir” bilgisini aktardı.
Mamaklıoğlu, dişetinde görülen farklılıkların olası nedenlerine de değinerek, “Genetik veya gelişimsel bozukluklar, bakteri, virüs veya mantar kaynaklı spesifik enfeksiyonlar, immün hastalıklar, deri ve mukoz membranların otoimmün hastalıkları, travmatik lezyonlar veya dişeti renkleşmeleri olabilir. Bu hastalıklarda ağız boşluğu ilk etkilenen bölge olabilmektedir” ifadelerini kullandı.
Bazı kanser türlerinde de lezyonların ağız boşluğunda veya dişetinde belirti verebildiğine dikkat çeken Mamaklıoğlu, “Lezyonların görünümleri farklılık gösterebilir, kesin teşhis için alınan biyopsi örneğinin histopatolojik incelemesi gereklidir. Diş hekimleri dişetinde görülen değişikliklerin teşhisini koyma ve tedavi planını düzenleme konusunda ilk başvurulması gereken sağlık profesyonelleridir. Dişetinde normalin dışında görünüm veren lezyonların tespit edildiği durumlarda en yakın diş hekimi ziyaret edilmelidir” önerisinde bulundu.


Güncel 11.05.2021 10:40:09 0

İlginizi Çekebilir

1

Hatay'da nehre düştüğü iddia edilen kişiyi arama çalışması başlatıldı

2

Hatay'da ağaca çarpan otomobilin sürücüsü yaralandı

3

Hatay'da depremde hasar alan tarihi Yenişehir Cami ibadete tekrar açıldı

4

Mersin'de cipin çarptığı yayalardan 3'ü hayatını kaybetti, 3'ü yaralandı

5

Isparta’da Sakal-ı Şerif ziyarete açıldı

6

GÜNCELLEME - Mersin'de cipin çarptığı yayalardan 3'ü hayatını kaybetti, 3'ü yaralandı

7

Adana, Mersin, Hatay ve Osmaniye'de Berat Kandili idrak edildi

8

Antalya'daki otobüs kazasında hayatını kaybeden 12 yaşındaki Seymen Çınar Sarı'nın cenazesi defnedildi

9

Antalya'da servis araçlarının kaza yapması sonucu iki öğrenci yaralandı

10

Burdur'da Dünya Sulak Alanlar Günü etkinliği gerçekleştirildi