Karnından uyuşturucu zulası çıktı

Karnından uyuşturucu zulası çıktı

Karnından uyuşturucu zulası çıktı

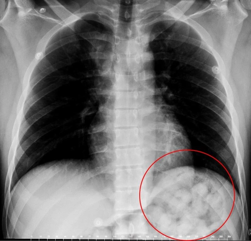
Van’dan otobüsle Ankara’ya gelen yabancı uyruklu şahıs, yuttuğu 72 kapsül metamfetamin kapsülünün midesinde patlaması üzerine rahatsızlanarak hastaneye kaldırıldı.
Edinilen bilgiye göre, 5 gün önce Van’dan otobüsle Ankara’ya gelen O. Zahed Ahmed Narziveh rahatsızlanınca hastaneye kaldırıldı. Ankara Şehir Hastanesine getirilen şahsın röntgen görüntüleri gerçeği ortaya çıkardı. Şahsın midesinde 890 gram ağırlığında 2’si patlamış halde 72 kapsül olduğu ve kapsüllerin patlaması ile fenalaştığı belirlendi. Mahkeme kararına istinaden ameliyata alınarak midesindeki metamfetamin kapsülleri çıkartılan zanlı, Ankara Emniyet Müdürlüğüne bağlı Narkotik Suçlarla Mücadele ekiplerince hastanedeki 5 günlük tedavisinin ardından adliyeye sevk edildi.


Yurt Dünya 4.03.2021 14:38:15 0

İlginizi Çekebilir

1

Adana'da kamyona çarpan otomobildeki 1 kişi öldü, 2 kişi yaralandı

2

Adana'da park halindeki otomobilde yaşanan patlamada 1 kişi öldü

3

Topçu Yüzbaşı Mustafa Ertuğrul Aker Kemer'de anıldı

4

Osmaniye’de mavi yumurtlayan tavukları çalan şüpheli polis tarafından yakalanıp tutuklandı

5

Antalya'da "15. Uluslararası Yeni Yıl Pazarı" açıldı

6

EMŞAV Tarsus hizmet binası açıldı

7

Mersinli şehit için oluşturulan hatıra ormanına yeni fidanlar dikildi

8

Antalya'da şarampole devrilen tırın bir eve çarparak durabildiği kazada sürücü yaralandı

9

Manavgat Ziraat Odası Başkanı Metin'den çiftçilere ÇKS uyarısı

10

MASTOB Başkanı Süral, iş yeri açma yönetmeliğini değerlendirdi